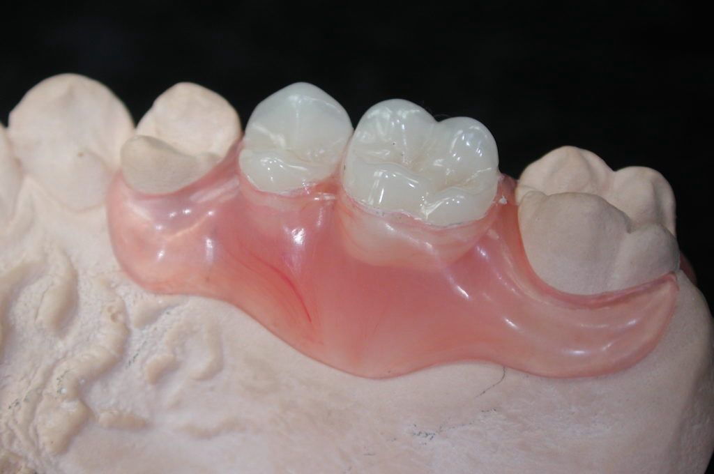
Valplast-Provisorien

Valplast-Provisorien

Flexible, metallfreie Provisorien mit hohem Tragekomfort und natürlicher Ästhetik.

Eine moderne Übergangslösung – leicht, unauffällig und gut verträglich.

Vorteile für die Praxis:

  • Hohe Ästhetik
  • Flexibel und bruchsicher
  • Metallfrei
  • Angenehmer Tragekomfort

Indikation:

  • Interimsprothesen
  • Übergangsversorgungen
  • Ästhetische Provisorien